
It’s about time that I finally write about something with which I have some authority. I’ve spent my entire life trying to be competent at doing other things when the thing that I was formally trained to do for the past 30 years on a near daily basis remains quietly unacknowledged.
There will always be a role for dentists in the health professions of the future because teeth are the only structures of the body that cannot heal themselves. When they break, and they will with greater certainty as we all live longer and more stressful lives, there are dire consequences. I’ve experienced four toothaches and the pain, while not comparable to the brutality of a CIA black site interrogation, is an all consuming experience. It distracts you from everything and becomes your sole focus. You cannot think, you cannot eat, and you cannot sleep. But it is an instructive experience because it gave me empathy for the plight of the working class poor who cannot afford dental services and somehow live with the pain for prolonged periods of time.
I had the inkling of a toothache but with the pandemic, my work schedule and the work schedule of my endodontists, it would be a week before I could see them. Meanwhile, the toothache developed in strength like a hurricane.
It began with throbbing, knife stabbing pain brought on by consuming hot liquids or food with no warning.
I grew up in a middle class existence in Canada and did not need any dental treatment until my early thirties. Human beings were really not designed to live for more then four to five decades but modern science has shielded those of us in the wealthy nations from the ravages of wild Earth and given us the knowledge to treat medical problems as they arise. But not teeth. Teeth are used every day and subject to physical fatigue. Our diet of highly processed food is also a contributor to failure as it promotes attack by intraoral bacteria with which the immune system is not able to respond since teeth actually exist outside the body. And the stress of modern life cause many people to grind their teeth at night while asleep, accelerating physical failure.
So even if you conscientiously brush and floss your teeth daily, watch your diet and live a healthy life – you too could experience a toothache later in life. Antibiotics will not help you. This type of first world toothache is not caused by advanced tooth decay introducing a bacterial infection into your jaw but is an inflammation of the nerve fibers residing in each living tooth as it begins to degenerate and die. This is brought on by the accumulated stresses of cracks, fractures, chips, load, old fillings and wear. The tooth begins by becoming hypersensitive to normal stimuli and develops to outright pain.
So how did I survive a week of pain and continue to function normally and with a smile?
- Avoid anything that provokes the tooth. No more morning coffees. Choose an alternate diet and eat less.
- Take your favourite nonsteroidal anti inflammatory analgesic at the highest strength. Could be ASA, Tylenol, Advil etc. I prefer Advil 400mg every 4-6 hours. Pain must be treated with a sledgehammer and frequently, there is no value in under treating pain. In fact I would take opiates but I also have to function with a clear head. Do not use Orajel because it will never penetrate deep enough into the bone to have any effect. Similarly placing an Aspirin on the gum beside the afflicted tooth will not work for the same reason and only cause a secondary chemical burn that will add to the discomfort.
- Acute toothaches can often be alleviated quickly with cold water, but will return quickly once the water is removed. I once gave my wife multiple injections of local anesthesia to get her through her pain until she could see someone (this is the never treat family or friends rule!) but I was leery of trying to give myself injections in the mirror.
- Also effective is inserting something in between teeth close to the offending tooth, like the end of a plastic dental flosser, and jiggling the teeth in a vertical direction. There is a theory called the Gate Control of Pain whereby signals from sensory nerves can interrupt the flow of signals from pain nerves to the spinal column or brain and you can see this in action when people reflexively rub an area of pain to alleviate its intensity. I found this jiggling action for several minutes would allow the pain to subside to the level where the anti-inflammatory drugs could work and more practical than drinking a stomach full of cold water.
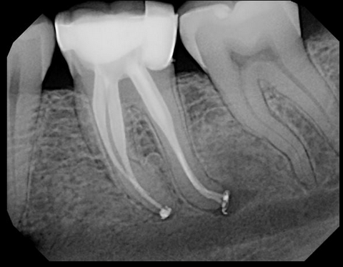
- And the final solution is of course to have endodontic or root canal treatment performed on the tooth. Granted, this is not inexpensive but the only other alternative is to have the tooth removed. Sadly this is often the realistic choice for many people but it’s a slippery slope. Fewer teeth only means more stress for the remaining teeth. Canada is a bit of an anomaly amongst the nations with universal health care. Drugs and Dentistry are not covered by our version of less than universal health care.
Addendum: April 20, 2026.
Canada has been enjoying its relatively new and national dental plan for all citizens whose household income is below $100k per annum. This is something I never thought I would see in my lifetime!
But I want to address something that patients often misunderstand when a dentist conducts an oral examination, often at the conclusion of a semi annual visit with a dental hygienist in his practice. Patients believe that I must scour all their teeth surfaces with a sharp tipped hook like instrument in order to find tiny cavities or gaps between restorations and their teeth.
But this is the 21st century … and that methodology is from the early 20th century. I wear 3x magnification loupes with a 5W LED headlight that let’s me see everything, including cavities that a crude metal hook can’t even begin to detect. Before a hook can be sunk into a rupture of the enamel surface, there has to be significant dentin decay to physically undermine the enamel layer, cause it to shift, collapse and cause a surface perforation. But I can see the color changes associated with this decay before the enamel layer has even collapsed.
There are modern laser based dental devices to allow very early detection of caries, before they are even visible to the eye or on an x-ray. But dental decay takes years to progress. Just a simple change in oral habits can delay or reverse early decay and this is why some dental treatment is a nuanced decision, and likely why these expensive devices are not more popular.
Furthermore, your dental hygienist has just spent 30-45 minutes intimately scraping your teeth and will know any suspicious areas that I should revisit when I arrive. Even is I miss a small cavity in a particularly inaccessible spot, it is not a grievous mistake. Over time that cavity will become much easier to detect and still easily treatable and likely with no compromise to its success.
What patients don’t know about is the spectre of oral cancer. While a dentist might be fixated on finding decay to line his own pockets, it’s the examination of oral soft tissues that is paramount. I know of one case where an old school dentist never asked any of his patients to extend their tongues and touch their palates to expose the underside. Otherwise he would have caught a case of squamous cell carcinoma early, but he didn’t until the patient himself felt something abnormal … but by then it was too late.
Patients simply don’t know what they don’t even know. In an era where education and expertise is sneered at and people do their research on the Internet, it’s not surprising that I have to pretend and scrape patient’s teeth with a metal hook to satisfy their conception of a thorough examination.

Great information. One thing I have never understood is why teeth have this completely debilitating installation of nerves in the first place. The only explanation I could ever come up with is the danger of spreading a tooth infection to the rest of the body outweighed most other consequences of extreme debilitating pain.
LikeLike
Hi Tom, thanks for the kind words. The reason teeth have nerve and blood supply is mainly to support the formation of the tooth, Once its fully formed they really aren’t needed although they do provide some neural feedback to aid in proper muscular positioning of the lower jaw during chewing.
LikeLike